Revista Fesormex
  • Inicio
  • Directorio
  • Mensaje Director
  • Mensaje Presidente
  • A Colaboradores

Select your language

  • Inicio
  • Directorio
  • Mensaje Director
  • Mensaje Presidente
  • A Colaboradores

COMORBILIDADES ASOCIADAS A LA RESPUESTA TERAPÉUTICA DE LA ENFERMEDAD DE MÉNIÈRE EN EL HOSPITAL “DR. VALENTÍN GÓMEZ FARÍAS” DEL ISSSTE

Details
Written by: FESORMEX
Category: Enero - Abril 2022
Read Time: 13 mins
Autor: Dr. Alejandro Iván Chávez Anaya
Coautores: Dr. Alejandro Perez Cisneros
Dr. Oswaldo Gutierrez Barajas
Dra. Cinthia Ileana Gonzalez Rodriguez
Dra. Karla Liliana Luviano Palmerin
Hospital Regional Valentín Gómez Farías. ISSSTE. Servicio de Otorrinolaringología y Cirugía de Cabeza y Cuello. Zapopan, Jalisco.
Introducción:
La enfermedad de Ménière es multifactorial y se caracteriza clínicamente por vértigo, hipoacusia neurosensorial fluctuante, acúfeno y plenitud ótica. La presencia de comorbilidades dificulta más su diagnóstico y tratamiento.
 
Objetivo:
Determinar que variables y comorbilidades se asocian a una mejor respuesta al tratamiento de la enfermedad de Ménière.
 
Material y Métodos:
se realizó un estudio retrospectivo, descriptivo, donde se incluyeron 7 pacientes con diagnóstico de enfermedad de Ménière, se excluyeron los que no contaran con historia clínica completa, audiometrías iniciales y de seguimiento (menor a 6 meses de antigüedad), o no aceptaran participar en el estudio. Se realizaron medidas de tendencia central.
 
Resultados:
Se estudiaron 7 pacientes, 4 mujeres y 3 hombres, con una edad promedio de 40.4 años al momento del diagnóstico, el tiempo de evolución promedio fue de 9.5 años. El oído derecho fue el afectado en 5 pacientes y el izquierdo en 2 pacientes. Solo 2 pacientes presentaron DM2 y HAS, 2 pacientes padecen hipotiroidismo. La terapia de dexametasona intratimpánica se usó en 5 pacientes. Los tratamientos implementados incluyen la dieta hiposódica, betahistina, acetazolamida, descompresión de saco endolinfático. La hipoacusia fluctuante se presentó en 5 casos.
 
Conclusiones:
La enfermedad de Ménière fue más frecuente en hombres que en mujeres, diagnosticada más frecuentemente después de los 40 años de edad, y más frecuente en el oído derecho. No se encontró relación entre la presencia de comorbilidades y la respuesta al tratamiento.
 
INTRODUCCIÓN
La enfermedad de Ménière (EM) es multifactorial y se caracteriza clínicamente por vértigo, hipoacusia neurosensorial fluctuante, acúfeno y plenitud ótica. 1 A nivel histológico, la EM se asocia con hidrops endolinfático presente en el conducto coclear y los órganos vestibulares. 2 Su prevalencia es aproximadamente 34-190 casos/100.000, presentándose desde la tercera hasta la séptima décadas de la vida, discretamente más en mujeres. Los factores de riesgo conocidos son la edad avanzada, ser de raza blanca y obesidad severa. 3
 
Durante la historia natural de la enfermedad, el síntoma de vértigo es más frecuente en el inicio de la enfermedad, y los demás síntomas de la enfermedad presentan gran variabilidad individual. 4 La hipoacusia suele ser unilateral, pero se han descrito casos de bilateralidad, al igual de presentar comorbilidades como vértigo posicional paroxístico benigno, migraña, enfermedades crónico degenerativas y autoinmunes, lo que complica y retrasa el su diagnóstico y tratamiento. 3,4
 
Para realizar el diagnóstico de la enfermedad se cuenta con 2 entidades, la enfermedad de Menière probable, la cual debe de presentar dos o más episodios de vértigo, con duración entre 20 min y 24 h cada uno, síntomas auditivos fluctuantes, se debe descartar diagnóstico vestibular. 5 La entidad llamada enfermedad de Menière definida también se define como dos o más episodios de vértigo espontáneo con duración entre 20 min y 12 h, hipoacusia neurosensorial de frecuencias bajas y medias en mínimo 2 estudios audiométricos, síntomas auditivos fluctuantes y descartar otro diagnóstico vestibular. 6,7
 
Dentro de los diagnósticos diferenciales que se deben descartar, se encuentran el síndrome de Cogan, sífilis, síndromes de tercera ventana, paroxismo vestibular, eventos vasculares cerebrales, enfermedades autoinmunes, tumores de saco endolinfático y de ángulo pontocerebeloso, schwannomas, migraña vestibular, etc. 4
 
Una vez hecho el diagnóstico, se recomienda iniciar el tratamiento con dieta hiposódica, diuréticos o vasodilatadores, cuando no encontramos una respuesta adecuada a la terapia inicial, se pueden agregar corticoides orales. 8 En casos de difícil control, se cuenta con la ablación vestibular (gentamicina intratimpánica), y la laberitectomía quirúrgica.9
Desde su primera utilización documentada en 1996, los corticoides intratimpánicos, asociándolos con vía intravenosa, han presentado buenos resultados. Se piensa que la aplicación en el órgano diana es más efectiva que la vía general. 10
 
El objetivo de este trabajo es determinar si las comorbilidades en pacientes con enfermedad de Ménière, alteran la respuesta terapéutica los pacientes del Hospital “Dr. Valentín Gómez Farías” del ISSSTE.
 
MATERIAL Y MÉTODOS
El diseño de este estudio es descriptivo, retrospectivo en pacientes con diagnóstico de enfermedad de Ménière, en la consulta externa de otorrinolaringología del Hospital “Dr. Valentín Gómez Farías” del ISSSTE.
 
Los pacientes fueron seleccionados de la consulta externa del 1 de noviembre de 2017 al 31 de mayo de 2018, se les realizó una entrevista dirigida al inicio de su padecimiento, sintomatología, tratamientos recibidos, respuesta al tratamiento, se complementó con una revisión exhaustiva del expediente clínico, incluyendo estudios audiométricos, así como una exploración otoneurológica.
 
Criterios de inclusión: pacientes mayores de 18 años de edad, diagnóstico de enfermedad de Ménière.
Criterios de exclusión: pacientes con diagnóstico de cáncer, tratamiento indicado por facultativo externo a la institución.
Criterios de eliminación: expediente incompleto, mal apego al tratamiento.
Se realizó la captura de las siguientes variables: cédula del paciente, edad actual, sexo, edad al momento del diagnóstico de enfermedad de Ménière, años de evolución, síntoma inicial, duración del vértigo, oído afectado, comorbilidades (diabetes mellitus, hipertensión arterial, depresión, cardiopatías, alteraciones tiroideas, otros), medicamentos sistémicos empleados, aplicaciones de corticoide intratimpánico, tratamiento quirúrgico, audiometrías (iniciales y más reciente), fluctuación de síntomas auditivos.
 
PLANTEAMIENTO DEL PROBLEMA
La enfermedad de Ménière es la tercera causa de vértigo periférico y su máxima incidencia en ambos sexos es entre los 40 y 50 años de edad.
La variabilidad de presentación clínica y las comorbilidades dificultan el diagnóstico y retrasan el tratamiento.
Pregunta de investigación
¿Las comorbilidades en pacientes con enfermedad de Ménière, afectan la respuesta al tratamiento?
 
JUSTIFICACIÓN
La enfermedad de Ménière es la tercera causa más común de vértigo periférico, con gran impacto en la población ya que genera incapacidades laborales, alteraciones psicológicas, pudiendo ser permanentes.
Un diagnóstico y tratamiento oportunos, ayudan a estos pacientes a tener una mejor calidad de vida, permitiéndoles seguir siendo parte de la población económicamente activa.
 
ANÁLISIS ESTADÍSTICO
Se utilizaron medidas de tendencia central para la mejor compresión de los datos, que se expresaron con gráficas y tablas.
La información fue analizada con pruebas no paramétricas, expresadas como números, proporciones (%) y medianas.
Para la descripción de variables continuas se determinó la distribución de normalidad a través de pruebas estadísticas. (tabla 1)
  
RESULTADOS
Se incluyeron 13 pacientes, se excluyeron 3 pacientes (2 por diagnóstico de cáncer, 1 por tratamiento indicado por médico externo a la institución), se eliminaron 3 pacientes (por expediente incompleto).
1 2
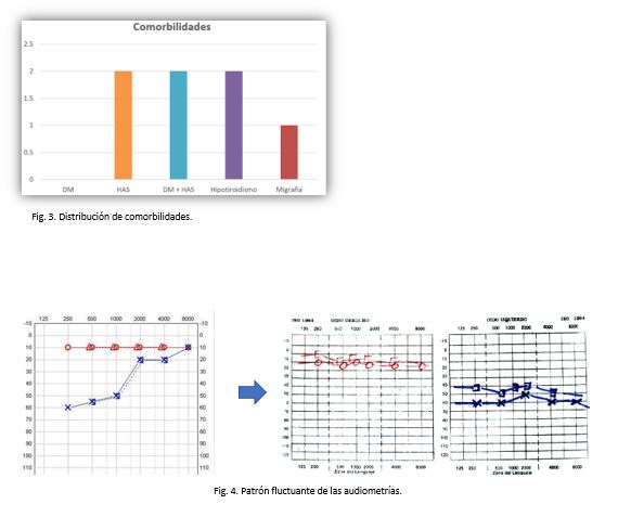
La edad media de los pacientes fue de 48.5 años, 3 son mujeres y 4 son hombres (Fig. 1), la edad media al momento del diagnóstico fue de 40.4 años, años de evolución media 9.5 años, el síntoma inicial en 5 pacientes incluía la triada de vértigo, acúfeno e hipoacusia, 1 paciente debutó con acufeno y 1 con neuritis vestibular, la periodicidad de las crisis de vértigo van de 30 minutos a 12 horas, con una media de 4.7 horas, el oído derecho se encontró afectado en 5 pacientes y el izquierdo en 2 pacientes (Fig. 2), en el rubro del tratamiento, 2 pacientes se controlan con dieta hiposódica, 1 paciente con acetazolamida, 1 paciente con clortalidona, 1 paciente con betahistina, 3 pacientes con más de 1 medicamento, 5 pacientes han recibido terapia con corticoide intratimpánico con una media de número de aplicaciones de 4.2, siendo la mínima 1 ocasión y la máxima 15 veces (5 años de evolución), el cual requirió  tratamiento quirúrgico mediante descompresión de saco endolinfático con mejoría sintomática importante, 0 pacientes padecen diabetes mellitus, 2 hipertensión arterial sistémica, y 2 pacientes presentan diabetes mellitus e  hipertensión arterial sistémica  concomitantes, 2 presentan hipotiroidismo, y 1 paciente presenta migraña (Fig. 3), los estudios audiométricos iniciales y actuales, en los 7 paciente se presentó hipoacusia neurosensorial progresiva, con patrón fluctuante corroborado en 5 pacientes (Fig. 4).
   3
 
Discusión
Bruce y Conrad Proctor (1981) relacionaron la presencia crónica de niveles elevados de metabolitos séricos (glucosa, insulina, triglicéridos, colesterol), con daño en la microvasculatura, incluida la del oído interno, sugiriéndolo como posible causa del hidrops endolinfático. Estudiaron 50 casos de enfermedad de Ménière, encontrando estas alteraciones metabólicas en el 76%, predominando la alteración en los niveles de insulina.
 
Spencer (1981) también hizo la relación de la enfermedad de Ménière con pacientes propensos a la dislipidemia, obesidad, diabetes mellitus, coronariopatía, probablemente condicionados por hiperinsulinemia.
 
Warninghoff (2009) realizó una cohorte de pacientes con vértigo (VPPB, Ménière, migraña vestibular, vértigo fóbico), buscando alguna relación con comorbilidades como hipertensión arterial sistémica, diabetes, migraña, depresión, solo encontrando mayor prevalencia de HAS en Ménière y alteraciones psiquiátricas en vértigo fóbico.
Pieskä (2018) revisó 350 casos de enfermedad de Ménière, encontrando mayor prevalencia de migraña, hipotiroidismo, alergias, coronariopatía, enfermedades autoinmunes, en comparación con la población general. La diabetes se asoció con hipoacusias más severas y vértigo más frecuente.
El número de comorbilidades se asoció con vértigo más frecuente.
Nuestros pacientes presentaron diabetes, hipertensión, hipotiroidismo, sin presentar depresión o alteraciones coronarias.
En este estudio 2 pacientes presentaron HAS y DM concomitantes, con una evolución clínica muy distinta, ya que en un caso el control de la enfermedad se alcanzaba con medidas dietéticas, y el otro caso fue de difícil control, requiriendo 15 aplicaciones intratimpánicas de corticoide, y alcanzo control del vértigo solo después de una descompresión quirúrgica del saco endolinfático.
 
Los pacientes con hipotiroidismo lograron un control del vértigo cuando regularizaron su nivel de hormonas tiroideas.
 4
 
 
CONCLUSIÓN
En este estudio, la presencia de comorbilidades, no demostró ser factor pronóstico para la respuesta terapéutica en pacientes con enfermedad de Ménière.
Se requieren más estudios, con un mayor número de pacientes para establecer los efectos de comorbilidades en el pronóstico de la enfermedad de Ménière.
BIBLIOGRAFÍA
  • Rauch SD. Menière’s syndrome and endolymphatic hydrops: Double-blind temporal bone study. Ann Otol Rhinol Laryngol. 1989
  • Bisdorff A. Classification of vestibular symptoms: Towards an international classification of vestibular disorders. J Vest Res. 2009
  • Lempert T. Vestibular migraine: Diagnostic criteria. J Vestib Res. 2012
  • Lopez-Escamez JA. Criterios diagnósticos de enfermedad de Menière. Documento de consenso de la Bárány Society, la Japan Society for Equilibrium Research, la European Academy of Otology and Neurotology (EAONO), Acta Otorrinolaringol Esp. 2015
  • Perez-Garrigues H. Time course of episodes of definitive vertigo in Menière’s disease. Arch Otolaryngol Head Neck Surg. 2008
  • Nabi S. Bilateral Ménière’s disease. Curr Opin Oto-laryngol Head Neck Surg. 2009.
  • Escamez JA. Impact of bilaterality and headache on health-related quality of life in Menière’s disease. Ann Otol Rhinol Laryngol. 2009
  • Belinchon A. Hearing assessment in Menière’s disease. 2011
  • Pérez-Garrigues H. Un nuevo enfoque para el tratamiento de los 3 síntomas de la enfermedad de Ménière: laberintectomía e implante coclear en un mismo acto quirúrgico. Acta Otorrinolaringol Esp. 2014
  • J. García-Purriños. Dexometasona vía combinada intratimpática-intravenosa para el control del vértigo en la enfermedad de Ménière Acta Otorrinolaringol Esp 2005
  • Proctor B, Proctor C. Metabolic management in Menière's disease. Ann Otol Rhinol Laryngol. 1981
  • Spencer JT Jr. Hyperlipoproteinemia, hyperinsulinism, and Meniere's disease. South Med J. 1981
  • Warninghoff JC. Co-morbidities of vertiginous diseases. BMC Neurol. 2009
  • Pieskä T. Concomitant diseases and their effect on disease prognosis in Meniere's disease: diabetes mellitus identified as a negative prognostic factor. Acta Otolaryngol. 2018

REFERENCIAS Y CONFIGURACIÓN ANATÓMICA DEL NERVIO FACIAL EN PACIENTES POST OPERADOS DE PAROTIDECTOMIA SUPRANEURAL; SERIE DE CASOS.

Details
Written by: FESORMEX
Category: Enero - Abril 2022
Read Time: 15 mins
 AUTOR: DR. DAVID ALEJANDRO NORIEGA TRUJILLO
COAUTORES: DRA. IVONNE AIRANCENY
GAITÁN NUÑO/ DR LUIS HUMBERTO GOVEACAMACHO
 
HE CMNO– INSTITUTO MEXICANO DEL SEGURO SOCIAL.
SERVICIO DE OTORRINOLARINGOLOGÍA Y CIRUGÍA DE CABEZA Y CUELLO
 
Correspondencia:
Ivonne Airanceny Gaitán Nuño, Residente de Primer Año, Otorrinolaringología y Cirugía de Cabeza y Cuello
HE CMNO– Instituto Mexicano del Seguro Social.
E-mail: This email address is being protected from spambots. You need JavaScript enabled to view it.
 
REFERENCIAS Y CONFIGURACIÓN ANATÓMICA DEL NERVIO FACIAL EN PACIENTES POST OPERADOS DE PAROTIDECTOMIA SUPRANEURAL; SERIE DE CASOS.
AUTOR: DR. DAVID ALEJANDRO NORIEGA TRUJILLO.
COAUTORES: DRA. IVONNE AIRANCENY GAITÁN NUÑO
DR LUIS HUMBERTO GOVEA CAMACHO
RESUMEN
INTRODUCCIÓN: En la porción extratemporal, el tronco principal del nervio facial corre a través del parénquima parotídeo donde se divide en una rama temporofacial superior y una cervicofacial inferior, la división superior a su vez en rama temporal, cigomático y bucal. La división inferior en la rama marginal mandibular y cervical. Anatomistas han tratado de buscar una clasificación que unifique e integre los diferentes patrones nerviosos observados durante la disección, en 1956, Davis et al., estudiaron una muestra de 350 nervios faciales y propusieron seis patrones diferentes.

OBJETIVOS:
Describir la anatomía del nervio facial disecado en su porción extratemporal en pacientes postoperados de parotidectomía supraneural en nuestro servicio.

MATERIAL Y MÉTODOS:
Estudio descriptivo transversal, pacientes intervenidos de parotidectomía supraneural en el servicio de otorrinolaringología de centro médico nacional de occidente en el periodo de junio 2017 a junio 2018 en los que el nervio facial extrapetroso fue disecado, como parte del manejo quirúrgico requerido por patología basal del paciente.
 
RESULTADOS:
Se estudiaron 10 pacientes, edad 23 a 70 años, (media 52 años), cada nervio facial disecado en su porción extratemporal, se encontraron dos troncos principales, temporofacial y cervicofacial. se dividieron en cinco ramas

terminales, de acuerdo a comparación con clasificaciones previas (Davis et al.) identificamos el patrón tipo 1 como el más frecuente (n=5, 50%), además, es importante considerar las referencias anatómicas para la identificación del tronco principal del nervio facial en su salida del agujero estilo mastoideo, así como cuál de ellas puede resultar la más objetiva durante la cirugía para dicho propósito.
 
CONCLUSIONES:
Existe una extensa variabilidad en la anatomía del nervio facial, dicha distribución plexiforme podría ser un problema durante la cirugía de la glándula parótida, causando una lesión en el nervio si el cirujano no tiene conocimiento de las diferentes variaciones en su configuración, además, es preciso considerar la búsqueda orientada de las referencias anatómicas utilizadas para la localización del tronco principal del nervio facial en su salida por el agujero estilomastoideo durante la cirugía, para su correcta disección, evitando de esta forma su lesión inadvertida.
 
INTRODUCCION
Reconocer la anatomía del nervio facial nos permite conocer con precisión las zonas por la que discurre para evitar provocar daños adversos durante la cirugía de parotidectomía supraneural.
 
El nervio facial suministra a la cara todos los impulsos motores, excepto los que inervan al músculo de müller, a los músculos oculares y a los de la masticación, asimismo es secretor para las glándulas salivales y aporta la sensibilidad gustativa a los dos tercios anteriores de la lengua. En la porción extratemporal, el tronco principal del nervio facial co- rre a través del parénquima parotídeo donde se divide en una rama temporofacial superior y una cervicofacial inferior, la división superior a su vez se subdivide en otras ramas más finas que van a inervar a los músculos de la frente y cejas (rama temporal), a los músculos cigomáticos y orbicular (rama cigo- mática), ala de la nariz y boca (rama bucal). la división cervico- facial inferior a su vez en la rama marginal mandibular y cervical.1-2.

Algunos anatomistas han tratado de buscar una clasificación que unifique e integre los diferentes patrones nerviosos observados durante la disección, desde 5 patrones nerviosos (dargent y duroux, 1946) a ocho (mccormack et al., 1945; pons-tortella, 1947) y otras clasificaciones basadas en tipos de troncos dobles (kopuz et al., 1994) o según el origen de la rama bucal (kwak et al., 2004). sin embargo, en este trabajo se tomó como referencia la clasificación de Davis et al., (1956) quienes estudiaron una muestra de 350 nervios faciales y pro- pusieron seis patrones diferentes de acuerdo a las conexiones entre
las ramas terminales .4-5
La variabilidad en la anatomía del nervio facial, puede aumentar la probabilidad de parálisis después de la cirugía de parotidectomía supraneural si el cirujano no tiene conocimiento de las diferentes variaciones anatómicas de su configuración así como de las referencias anatómicas para identificar el tronco principal del nervio desde su salida del agujero estilomastoideo, Por lo tanto, hemos realizado este estudio revisando algunas clasificaciones en las diferentes disposiciones de dicho nervio y sus ramas terminales, y hemos comparado con algunos de nuestros propios casos con un propósito clínico.
 
MATERIAL Y MÉTODOS
Se realizó un estudio descriptivo transversal, con 10 casos de pacientes intervenidos de parotidectomia supraneural en el servicio de otorrinolaringología y cirugía de cabeza y cuello de centro médico nacional de occidente en el periodo de junio 2017 a junio 2018 en los que el nervio facial extrapetroso fue disecado.
Se trató de un total de 10 pacientes adultos, 5 masculinos y 5 femeninos, en 6 casos se presentó patología parotídea izquierda (4 hombres y 2 mujeres) y 4 casos patología parotídea derecha (1 hombres y 3 mujeres). en dichos pacientes se planeó la realización de parotidectomía supraneural como parte del manejo quirúrgico requerido por la patología basal, con la disección necesario del nervio facial en su porción extratemporal para mostrar la disposición anatómica del mismo, estudiando sus relaciones anatómicas y curso de las subdivisiones terminales en la que se utilizó la clasificación de davis et al., (1956)
 
RESULTADOS
El total de pacientes documentados dentro del periodo en estudio fue de diez casos, con una edad de entre 23 a 70 años, (media 52 años).

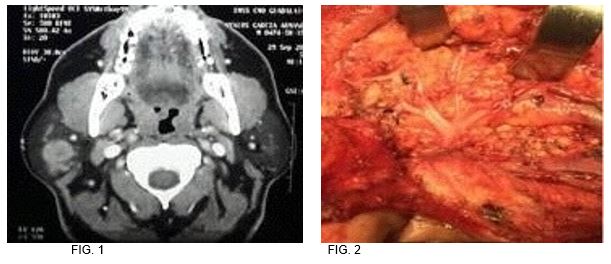
Caso 1: Masculino 49 años de edad, antecedente de tabaquismo e hipertensión, tumor parotídeo derecho de 5x3.5x2.5 pétrea. fue sometido a parotidectomía supraneural, resultando en melanoma maligno nodular con patrón sarcomatoide. (FIG. 1-2)
1
2
 

Caso 2: Femenino 40 años de edad, antecedente de hipertensión e hipotiroidismo, con tumor izquierdo 4 x 5 cm. fue sometido a parotidectomía supraneural, resultando en adenoma pleomorfo. (FIG. 3-4)
3

Caso 3: femenino 70 años de edad, antecedente de hipertensión, tabaquismo, diabetes mellitus y dislipidemia, con tumor parotídeo izquierdo de 6cm en su eje mayor, resultando en tumor de Warthin. (FIG. 5-6)
 4

Caso 4: masculino 56 años de edad, antecedente de diabetes mellitus, tabaquismo e hiperplasia prostática, con tumor parotídeo izquierdo de 3cm en su eje mayor, resultando en adenoma pleomorfo. (FIG. 7-8)
 5

Caso 5: femenino de 56 años de edad, antecedente de diabetes mellitus y dislipidemia con tumor parotídeo derecho de 4x5 cm, resultando en oncocitoma parotídeo. (FIG. 9-10)
6

Caso 6: masculino de 23 años de edad, sin antecedentes de importancia, con tumor parotídeo izquierdo sometido a parotidectomía supraneural resultando en adenoma pleomorfo. (FIG. 11-12)
7

Caso 7: femenino de 62 años de edad, antecedente de hipertensión arterial, con tumor parotídeo derecho de 7 x 6cm, resultando en adenoma pleomorfo. (FIG. 13-14)
 8

Caso 8: masculino de 59 años de edad, antecedente de diabetes mellitus y tabaquismo con tumor parotídeo izquierdo de 3cm en su eje mayor resultando en tumor de Warthin (FIG. 15-16)
 9

Caso 9: masculino de 64 años de edad, antecedente de diabetes mellitus 2, tabaquismo y etilismo con tumor parotídeo izquierdo de 4cm en su eje mayor resultando en tumor de warthin. 
 10

Caso 10: femenino de 45 años de edad, sin antecedentes clínicos de importancia, con tumor parotídeo derecho de 8cm en su eje mayor, resultando en un adenoma pleomorfo. (FIG. 19-20)
11

Referencias anatómicas más importantes para identificación de tronco principal de nervio facial en su salida por agujero estilomastoídeo (FIG. 21):
12

13
 
14

RESULTADOS:
el estudio histopatológico demostró la presencia de cinco casos de adenoma pleomorfo (n=5, 50%), tres casos de tumor de Warthin (n=3, 30%), un caso de melanoma maligno nodular (n=1, 10%), y otro caso de oncocitoma parotídeo (n=1, 10%). 6 casos presentaron patología parotídea izquierda (4 hombres y 2 mujeres) y 4 casos derecha (1 hombre y 3 mujeres).
El patrón de configuración encontrado fue de la siguiente manera:
 
15 
La media en distancia del pointer al agujero estilomastoideo fue de: 8.6 mm. sin embargo hubo 1 caso en el que se encontraba a solo 6mm del mismo.
 
DISCUSIÓN
Después de que el nervio facial emerge del foramen estilomastoideo, emite ramas al vientre posterior del músculo digástrico y luego corre a través del parénquima del tejido parotídeo entre lóbulo profundo y superficial hasta que emerge más allá del borde anterior de la glándula para continuar hasta los músculos faciales. 2
El músculo digástrico y el puntero tragal son puntos de referencia útiles para encontrar el tronco principal del nervio facial, pues e s t e n e r v i o s a l e del
f o r a m e n estilomastoideo inmediatamente posterior al proceso estiloide y entra a la glándula parótida inmediatamente anterior a la inserción del músculo digástrico en la punta mastoidea. para el reconocimiento del tronco principal del nervio fa c i a l s e iden t i f i c a apr o x i m a d a m e n t e 1c m m e d i a l anteroinferior al puntero tragal. 1,5
La conservación de la integridad del nervio facial dentro de la patología tumoral en glándula parótida requiere que los abordajes quirúrgicos se realicen sólo tras haber identificado en primer lugar el nervio facial. por tanto, el objetivo de la cirugía de la glándula parótida en caso de lesiones benignas es extirpar toda la neoplasia sin lesionar el nervio facial. Para ello, lo mejor es realizar una parotidectomía superficial con disección del nervio facial. 5
En esta serie de casos cada paciente fue intervenido de parotidectomía supraneural debido a patología tumoral en glándula parótida. en los que el nervio facial fue disecado en su porción extratemporal.
Se utilizó la clasificación de Davis et al., (1956) para la distribución del nervio facial en su porción extratemporal. (fig. 33) y de acuerdo a comparación con esta clasificación identificamos en nuestros pacientes el patrón tipo i fue el más frecuente (n=5, 50%), seguido de la configuración tipo v (n=3, 30%)
 
16
FIG. 24 LOS TIPOS PRINCIPALES DE RAMIFICACIÓN DEL NERVIO FACIAL, COMO DESCRIBEN DAVIS ET AL.
 
En cada caso se encontraron dos troncos principales temporofacial y cervicofacial descritas en la literatura, los cuales hacia su porción distal se dividieron en cinco o más ramas terminales.

Las ramas temporales del nervio facial se encuentran anteroinferior a la arteria superficial temporal, por lo que resulta en un punto de referencia importante para preservar la rama temporal. La rama cigomática transcurrió en todos los casos debajo y paralelo al arco cigomático hasta llegar a la parte inferior del músculo orbicular. La rama bucal corre paralela al conducto parotídeo hacia el músculo buccinador. El origen de la rama bucal ha sido reportada como la más variable de las ramas faciales terminales, por lo tanto, se ha utilizado por algunos autores para clasificar el nervio facial en diferentes patrones de ramificación (Katz y Catalano, 1987;
kwak et al., 2004). 3 Dentro de nuestra descripción encontramos
su origen con mayor frecuencia en el tronco temporofacial (n=5, 50%), en otros tres nervios surgió del tronco cervicofacial (30%) y en una minoría presentó un origen como una raíz doble de ambas divisiones que se unen para formar una sola rama bucal (n=2, 20%). la rama marginal pasa sobre la arteria facial cuando cruza el límite inferior de la mandíbula, en los diez casos se encontró una rama única. En nuestros pacientes, como se menciona en la literatura, se tomaron en cuenta las principales referencias anatómicas como lo son la apófisis vaginal del cartílago tragal, la cual presento distancia promedio de 8.2mm, encontrando un caso en el que este se encontraba a tan solo 6mm del pointer y otros mas en los que la distancia era del doble de esta última mencionada, por lo que esta variabilidad obliga a tomar en cuenta otras referencias importantes en la ubicación del nervio, además de las clásicas, como lo es la apófisis estiloides así como la punta de la mastoides, las cuales invariablemente permiten localizar de forma confiable y segura la salida del NERVIO FACIAL A SU SALIDA DEL agujero estilomastoideo.

CONCLUSIONES
Existe una extensa variabilidad en la anatomía del nervio facial, con distintos patrones de distribución plexiforme del mismo, lo cual podría ser un problema durante la cirugía de la glándula parótida causando una lesión en el nervio si el cirujano no tiene conocimiento de las diferentes variaciones anatómicas, así como la búsqueda orientada de las referencias anatómicas utilizadas de forma más objetiva para la visualización del tronco principal del nervio facial durante la cirugía y la correcta disección del mismo, evitando su lesión de forma inadvertida.
En la literatura se encuentran distintas clasificaciones complejas y poco prácticas sobre el patrón de distribución en las ramas terminales del nervio facial e incluso se han descrito hasta 12 tipos diferentes, mismas que no pueden ajustarse exactamente a cada nervio observado en una disección. de esto surge la necesidad de recurrir a una forma en que estudiamos la anatomía del nervio facial extracraneal mucho más práctica, volviendo a las distribuciones clásicas de descripción de las ramas terminales o quizás estudiarlo por regiones, en lugar de clasificaciones complejas difíciles de memorizar, lo cual sería mucho más útil en términos clínicos para lograr un mejor conocimiento anatómico, para prevenir la lesión de una rama durante la cirugía teniendo presentes los puntos de riesgo, asi como conocer la relevancia clínica de las referencias anatómicas más importantes para la identificación del tronco principal del nervio, considerando además de las regencias clásicas como lo es el pointer y el vientre posterior del musculo digástrico, consideradas referencias clásicas, la punta de la mastoides así como la apófisis estiloides, las cuales se muestran invariables en relación al nervio facial y su emergencia extratemporal.
BIBLIOGRAFÍA
1. Flint, P., Haughey, B., Lund, V., Niparko, J., Robbins, T., Thomas, R., & Lesperance, M.. (2015). Cummings otolaryngology–head & neck surgery. Philadelphia: Elsevier Saunders. pp. 1275-1277. 6th ed.
2. Rodríguez, M., Saynes, F., & Hernéndez, G. (2009). Otorrinolaringología y cirugía de cabeza y cuello. México: Mc Graw Hill. p. 20, 44.
3. Martínez Pascual, P., Maranillo, E., Vázquez, T., Simon de Blas, C., Lasso, J. and Sanudo, J. (2018). Extracranial Course of the Facial Nerve Revisited. The Anatomical Record.
4. Bendella, H., Spacca, B., Rink, S., Stoffels, H., Nakamura, M., Scaal, M., Heinen, H., Guntinas-Lichius, O., Goldbrunner, R., Grosheva, M. and An- gelov, D. (2017). Anastomotic patterns of the facial parotid plexus (PP) A human cadaver study. Annals of Anatomy - Anatomischer Anzeiger, 213, pp.52-61.
5. E. Myers (2010). Otorrinolaringología quirúrgica: Cirugía de cabeza y cuello, España, Elsevier Saunders. pp. 511-523 2nd Ed.

NASOANGIOFIBROMA JUVENIL. SERIE DE CASOS SERIE DE CASOS EN CENTRO MÉDICO NACIONAL BAJÍO, UMAE T1 LEÓN, GTO.

Details
Written by: FESORMEX
Category: Enero - Abril 2022
Read Time: 7 mins
Autor: Dr. Gustavo González Cabrera R4
Coautor: Dra. Meza Jiménez Pamela R4
Dra. Reyes Mercado Emma Esther R2
Dra. Galindo Tapia María Fernanda R2
Dr. Curiel Lara Wilfrido de Jesús R2
Dr. Acosta Banda Carlos Abel MB
Dr. Roque Moreno Marcos Flavio MB
Dra. Venegas Loya Paulina MB.
Dirección:
Dirección: Av. López Mateos esquina Paseo de los Insurgentes sin número Colonia: los paraísos
C. P. 37320 León Estado: Guanajuato
Correspondencia:
Teléfono: 4777174800
E-mail: This email address is being protected from spambots. You need JavaScript enabled to view it.

Institución: Instituto Mexicano del Seguro Social

Hospital: Centro Médico Nacional del Bajío UMAE T1
INTRODUCCIÓN.
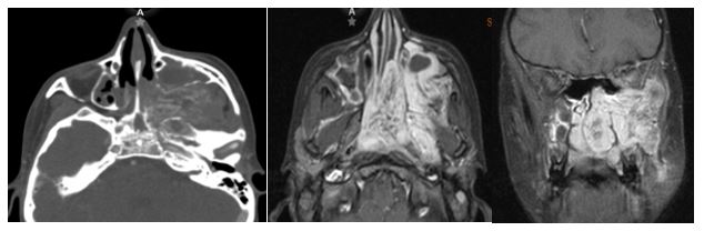
El nasoangiofibroma juvenil es un tumor fibrovascular, que se presenta en pacientes masculinos en etapa de adolescencia principalmente, benigno, con capacidad invasiva y destructiva, con origen en el foramen esfenopalatino y puede tener extensión intracraneal. Se caracteriza por obstrucción nasal, epistaxis y una masa rojiza que protruye de la fosa nasal u orofaringe. Se presentan 5 casos, recabados entre 2017-2018 en CMNB, UMAE T1, León, Gto.
 
1. 04/2017. Masculino 9 años con obstrucción nasal de inicio gradual, epistaxis recurrente derecha, presentando masa en fosa nasal derecha de 3 años de evolución con extensión a seno maxilar, fosa pterigomaxilar e infratemporal derecha, así como Iisis de piso de orbita. Clasificación IIC (Radkowski) III (Chandler). Se realiza angiografía, embolización desde arteria carótida externa y se realiza resección vía Weber Ferguson, con resección completa del mismo, con buena evolución a 16 meses de posquirúrgico sin recurrencia.
1
 
2. 08/2017. Masculino 24 años con obstrucción nasal de inicio gradual, epistaxis recurrente bilateral con masa en cavidad nasal bilateral de 3 años de evolución. TC con extensión a naso y orofaringe, maxilar derecho, fosa pterigomaxilar ipsilateral. Clasificación IIB (Radkowski) III (Chandler). Se realiza angiografía, embolización, y resección vía Degloving mediofacial, resección completa, buena evolución a 1 año de posquirúrgico, sin recurrencia.
 
 2
 
3. 10/2017. Masculino 17 años con obstrucción nasal de inicio gradual, epistaxis recurrente derecha, masa la cavidad nasal bilateral y abombamiento de paladar blando de 4 años de evolución. TC y RM con extensión a naso y orofaringe con extensión a seno maxilar, fosa pterigomaxilar, infratemporal derecha y extensión intracraneal mínima. Clasificación IIIA (Radkowski) IV (Chandler). Se realiza angiografía, embolización de ramas de carótida externa bilateral, y resección vía endoscópica, transpalatina y Degloving, resección de 95% de tumor con tumor residual en fosa infratemporal, posterior radioterapia, con reducción gradual de tumor en los últimos 8 meses.
 3
 
4. 03/2018. Masculino 16 años con obstrucción nasal de inicio gradual, epistaxis recurrente izquierda, masa la cavidad nasal bilateral y abombamiento de paladar blando de 3 años de evolución. TC y RM con extensión a seno maxilar izquierdo fosa infratemporal, fisura infraorbitaria e intracraneal izquierdo. Clasificación IIIA (Radkowski) IV (Chandler). Se realiza angiografía, embolización y resección vía Degloving, con resección completa de tumor, buena evolución posquirúrgica a 6 meses, sin recurrencia.
4 
 
5. 05/2018. Masculino 22 años con obstrucción nasal de inicio gradual, epistaxis recurrente derecha, con masa fosa nasal ipsilateral que obstruye coana. TC con dependencia de pared lateral derecha. Clasificación IIA (Radkowski) I (Chandler). Se realiza angiografía y embolización de ramas de carótida externa ipsilateral, así como resección vía endoscópica con resección completa y buena evolución posquirúrgica a 3 meses, sin recurrencia.
 5
 
RESULTADOS.
Son 5 pacientes de sexo masculino de entre 9 y 24 años, con clasificación Radkowski IIA-IIIA. 4 fueron de origen derecho y 1 de origen izquierdo. Se realizó 1 resección endoscopia, 2 vía Degloving, 1 vía Weber Ferguson y 1 resección vía endoscópica/Degloving/Transpalatina. 4 resecciones completas y 1 parcial.
DISCUSIÓN. Todos los pacientes fueron evaluados con TC y angiografía, a todos se les realizo embolización de las ramas nutricias de la carótida externa. La resección endoscópica se realizó en el tumor IIA, mientras que la vía Degloving se utilizó en 2 pacientes con tumores IIB y IIIA, se realizó una resección vía Weber Ferguson en un paciente con tumor IIC. La resección fue completa en los tumores IIA-IIIA y solo una parcial en un tumor IIIA, la recurrencia ha sido nula en todos los casos.

CONCLUSIÓN.
Por las características del tumor, si se realiza un diagnóstico temprano, una buena embolización, el tratamiento quirúrgico es menos complejo y con menos morbi-mortalidad, el éxito de la cirugía depende de la experiencia del cirujano y la evaluación previa para determinar el manejo quirúrgico requerido, en nuestra unidad CMNB, UMAE T1, León, Gto, se tiene una incidencia aproximada de 3-6 casos por año, con buenos resultados a largo plazo, con recurrencia mínima.
Referencias
 
1. Lee J.T., Chen P., Safa A., Juillard G., Calcaterra T.C. The role of radiation in the treatment of advanced juvenile angiofibroma. Laryngoscope. 2002; 112:1213-20
2. Ungkanont K., Byers R.M., Weber R.S., Callender P.F., Wolf 6.-P.F., Goepfert H. Juvenile nasopharyngeal angiofibroma: An update of therapeutic management. Head Neck. 1996;18:60-6.
3. Harper C., Morris J., Lee P., Cloft H. Progressive epistaxis in two young males: Classic presentations of juvenile nasopharyngeal angiofibroma in unusual locations. Neuroradiology. 2010;52:419-20.
4. Snyderman CH, Pant H, Gardner PA. Juvenile angiofibroma. In: Meyers EN, Snyderman CH, eds. Operative Otolaryngology: Head and Neck Surgery. 3rd ed. Philadelphia, PA: Elsevier; 2018:chap 122.
5. Hyun D.W., Ryu J.H., Kim Y.S., Kim K.B., Kim W.S., Kim C.H., et al. Treatment outcomes of juvenile nasopharyngeal angiofibroma according to surgical approach. Int J Ped Otorhinolaryngol. 2011;75:69-73.
6. Midilli R., Karci B., Akyildiz S. Juvenile nasopharyngeal angiofibroma: Analysis of 42 cases and important aspect of endoscopic approach. Int J Ped Otorhinolaryngol. 2009;73:401
7. Herman P., Lot G., Chapot R., Salvan D., Huy P.T. Long-term follow-up of juvenile nasopharyngeal angiofibromas: Analysis of recurrences. Laryngoscope. 1999;109:140-
8. Manuel Bernal-Sprekelsena, Isam Alobida, José-María Guilemanya Angiofibroma juvenil, Acta Otorrinolaringológica Española. Vol. 58. Núm. S1. páginas 84-95 (Octubre 2007)
9. Tyagi I., Syal R., Goyal A. Recurrence and residual juvenile angiofibromas. J Laryngol Otol. 2007;121:460-7.
 
 

ANÁLISIS DESCRIPTIVO DE LAS URGENCIAS EN EL SERVICIO DE OTORRINOLARINGOLOGÍA DEL HOSPITAL REGIONAL TLALNEPANTLA, ISSEMYM

Details
Written by: FESORMEX
Category: Enero - Abril 2022
Read Time: 13 mins
AUTOR: Dra. Karen Jazmín Gómez Tolentino
 
COAUTORES:
Dra. Erika Mariana Chávez Martínez
Dr. Andrés Sánchez González
Dra. Teresa González Galindo
Dirección: Prosperidad 79-8
Colonia: Escandón, Código Postal: 11800 Miguel Hidalgo, Cuidad de México
Teléfono: 5552776827
E-mail: This email address is being protected from spambots. You need JavaScript enabled to view it.
Institución: ISSEMYM
Hospital: Hospital Regional Tlalnepantla
INTRODUCCIÓN
En México se define como urgencia a todo problema médico-quirúrgico agudo, que ponga en peligro la vida, un órgano o una función y que requiera atención inmediata”. Es necesario para una sociedad contar con servicios médicos de urgencias que representen la garantía de solidaridad, equidad y profesionalismo de la asistencia prehospitalaria con continuidad en los Servicios de Urgencias en un hospital. 1   En México existen datos estadísticos que revelan que una de cada dos personas requerirá ser atendida en un servicio de urgencias por alguna agudización de su enfermedad o padecimientos derivados de condiciones violentas. 2
Las emergencias otorrinolaringológicas son comunes en todas las comunidades. El diagnóstico temprano y tratamiento pueden resultar en la reducción de la morbi-mortalidad. Las emergencias otorrinolaringológicas requieren conocimiento y equipo especializado para manejar la situación, por lo que es necesario contar con recursos financieros para las admisiones e intervenciones quirúrgicas. 3,4  Con el incremento de los accidentes automovilísticos, aumento en la población, problemas industriales, problemas de inseguridad, las emergencias otorrinolaringológicas van en aumento, sin embargo se ha notado que solo el 10% de la consulta son urgencias reales y los síntomas más frecuentes por los que acuden a valoración son dolor, hipoacusia o algún cuerpo extraño.7,8
Los diagnósticos más comúnmente vistos en urgencias otorrinolaringológicas se encontraron, varían dependiendo de la región geográfica, entre los principales diagnósticos en urgencias encontramos epistaxis, traumatismo nasal y otitis externa9. En México dos de las pocas casuísticas de prevalencia de urgencias Otorrinolaringológicas, describieron como diagnósticos más comunes otitis (media aguda y externa), fractura nasal, epistaxis, cuerpo extraño, vértigo, trauma facial.
 
JUSTIFICACIÓN
En México, una de cada dos personas requerirá ser atendida en un servicio de Urgencias por alguna agudización de su enfermedad o padecimientos derivados de condiciones violentas. Se reporta que sólo 10% de las visitas a las unidades de Urgencias son casos realmente urgentes, sin embargo, en México existen pocos estudios acerca de las enfermedades otorrinolaringológicas atendidas en unidades de Urgencias.
Por lo cual este trabajo es importante para conocimiento de la actividad del servicio de Otorrinolaringología a la atención prestada en urgencias en los últimos tres años para conocer las urgencias reales y principales patologías atendidas.
 
OBJETIVO
Conocer las principales causas de consulta en el servicio de urgencias por parte del servicio de otorrinolaringología y saber cuáles requieren realmente atención urgente por la especialidad.
Las cuatro principales patologías fueron contusión nasal con un 24%, las epistaxis anteriores con un 23%, fracturas de los huesos propios nasales en un 14% y cuerpos extraños en un 10% del total de patologías en urgencias atendidas por nuestro servicio.
 
MATERIAL Y METODOS
Estudio descriptivo, retrospectivo y observacional, realizado del  1 de enero 2015 a 31 de diciembre de 2017, en el que se revisaron los expedientes del cien por ciento de los pacientes atendidos en el servicio de urgencias por el servicio de otorrinolaringología en el Hospital Regional Tlalnepantla, ISSEMYM. Analizando las variables, edad, sexo, diagnóstico definitivo y fecha con el programa Microsoft Office Excel 2016.
1
La distribución de acuerdo al sexo presentó en el mismo porcentaje.
2
 

Las cuatro principales patologías fueron contusión nasal con un 24%, las epistaxis anteriores con un 23%, fracturas de los huesos propios nasales en un 14% y cuerpos extraños en un 10% del total de patologías en urgencias atendidas por nuestro servicio.

3

El mayor porcentaje de pacientes se encontró en el grupo de edad de 16 a 25 años de edad con el 34%, el segundo lugar se encontró el grupo de edad entre 26 a 45 años de edad con el 28%.  El promedio de edad fue de 39 años.
4
 
Las contusiones nasales se presentaron en un mayor porcentaje en la población masculina en un 61% con una edad promedio de 27 años.
En la población femenina, la edad promedio fue de 29 años y el porcentaje de presentación fue del 39%.
5
 
52% que represento el mayor porcentaje de las epistaxis anteriores se presentó pacientes masculinos con una edad promedio de 47 años, mientras que el 48% restante fueron pacientes femeninos con una edad promedio de 38 años.
6
 
Las epistaxis anteriores se presentaron en 277 pacientes. El mayor porcentaje de nuestra población (45%) no presento alguna comorbilidad ni alguna otra patología asociada. La comorbilidad mayormente asociada a la presentación de epistaxis fue la Hipertensión arterial sistémica (HAS) en un 27%, tanto en masculinos como en femeninos.
7
 
El mayor porcentaje de pacientes atendidos por fracturas de huesos propios nasales fue en el grupo masculino con un 68%, mientras la población femenina representó el 32%.
La edad promedio en los pacientes masculinos y femeninos fue similar con 35 años y 36 años respectivamente.  
8
 

Las fracturas no desplazadas representaron el mayor porcentaje de casos atendidos con el 58%, respecto del 41% de fracturas desplazadas.

Tanto en fracturas desplazadas como no desplazadas el mayor porcentaje de casos fue en pacientes masculinos con el 68%.

9

Las fracturas de huesos propios nasales se atendieron en el 68% con vendaje y férula nasal, respecto al 32% que se atendió con reducción cerrada, esto probablemente a que el mayor porcentaje de casos atendidos fueron fracturas no desplazadas.

10

El total general de pacientes con cuerpo extraño fue de 121 pacientes, de los cuales 64 pacientes fueron femeninos y 57 pacientes fueron masculinos lo cual representó el 53% y 47% respectivamente. La localización más frecuente en la población femenina fue con el mismo porcentaje el conducto auditivo externo y fosas nasales con un 24% cada una. La localización más frecuente en la población masculina fue el conducto auditivo externo y fosas nasales con el 26% y 19% respectivamente.

La edad promedio de presentación de cuerpo extraño en femeninos fue de 16 años, mientras que en pacientes masculinos la edad promedio fue de 12 años.

En los pacientes masculinos la edad promedio de presentación de cuerpo extraño en conducto auditivo externo (CAE) fue de 14 años, mientras que en las mujeres la edad promedio fue de 22 años.

 En los pacientes masculinos la edad promedio de presentación de cuerpo extraño en fosa nasal fue de 8 años, mientras que en las mujeres la edad promedio fue de 7 años.

11

No hubo diferencia en el porcentaje de presentación de otitis media aguda respecto a al sexo. Los pacientes masculinos presentaron una edad promedio menor de 26 años, respecto a los pacientes femeninos con edad promedio de presentación de 31 años.

12

Del total de casos en los pacientes femeninos que presentaron otitis media aguda (OMA), el mayor porcentaje se encontró en los rangos de edad de 26 a 45 años con el 35%; en segundo lugar con el 22% se encontró en el rango de edad de 46 a 64 años y en tercer lugar con el 20% se encontraron los pacientes de 0 a  5 años.

13

Del total de casos en los pacientes masculinos que presentaron otitis media aguda (OMA), el mayor porcentaje se encontró en los rangos de edad de 6-10 años con el 30%; en segundo lugar con el 20% se encontró en el rango de edad de 0- -5 años y en tercer lugar con el 19% se encontraron los pacientes de 46-64  años.

La otitis media aguda se presentó en pacientes masculinos más jóvenes con respecto a las pacientes femeninas, con su mayor porcentaje en pacientes entre los 6 y 10 años con el 30%, mientras el mayor porcentaje en femeninos se encontró en los rangos de edad de 26 a 45 años con el 35%.

14

15

Se observaron dos picos de porcentaje de presentación de acuerdo a la temporada del año, el primer pico en los meses de enero a marzo con el mayor porcentaje del 40% y el segundo pico en los meses de noviembre a diciembre, con un mayor número de casos en pacientes femeninas.

16

El mayor porcentaje de presentación de disfunción temporomandibular se presentó pacientes femeninas con el 68%, con una edad promedio de 39 años. Mientras en los pacientes masculinos la edad promedio de presentación fue de 49 años.

17

El mayor porcentaje de pacientes con Vértigo Postural Paroxístico Benigno (VPPB) fue en femeninas con un 71%, respecto a los pacientes masculinos que solamente representaron el 29%. La edad promedio de presentación fue similar en masculinos y femeninas, 51 y 49 años respectivamente.

19

Se presentó un total de 111 pacientes con vértigo postural paroxístico benigno, en el 80% de los pacientes no se encontró asociación con alguna patología. Las patologías asociadas en un mayor porcentaje de los pacientes con VPPB fueron DM tipo 2 en un 9%, hipertensión arterial sistémica (HAS) en un 8%.

20

El mayor porcentaje de pacientes atendidos con Neurorinitis vestibular fueron pacientes femeninas con el 58% con respecto al 42% de pacientes masculinos. La edad promedio en pacientes masculinos y femeninos fue similar en ambos grupos.

 21

El mayor número de casos con Neurorinitis vestibular se presentó en pacientes femeninas en el rango de edad de 26 a 45 años y en el caso de pacientes masculinos de 46 a 64 años.


DISCUSIÓN

Se han publicado algunos estudios de urgencias otorrinolaringológicas, comprobando la tendencia más creciente de acudir a los servicios de los grandes hospitales en busca de atención especializados.

Respecto al grupo de distribución de edad, el principal porcentaje se encontró entre los 25 a 44 años de edad, ocupado el segundo lugar los pacientes entre 45 a 64 años, similar a otros estudios.

De acuerdo a la presentación por sexo en nuestra población se presentó el mismo porcentaje en cada grupo (50%), a diferencia de otros estudios donde la población femenina presenta predilección.

Las patologías otorrinolaringológicas más frecuentemente atendidas en nuestra revisión fueron contusión nasal con un 24% como principal causa de consulta en urgencias,  al igual en otras bibliografías donde ocupa los primeros porcentajes de presentación, las epistaxis anteriores ocuparon el segundo lugar con el 23%, fracturas de los huesos propios nasales el tercer lugar en un 14% y cuerpos extraños en un 10% en cuarto lugar del total de patologías en urgencias atendidas por nuestro servicio. A diferencia de otros estudios donde la patología de oído ocupa un mayor porcentaje de los motivos de consulta en urgencia otorrinolaringológica, en un estudio por Badillo et all ocupó el segundo lugar de presentación, mientras que nuestra población ocupo el quinto lugar de presentación con el 9% al igual que los pacientes con VPPB.

En nuestra población la otitis media aguda se presentó en pacientes masculinos con mayor frecuencia entre los 6 y 10 años, mientras en los pacientes femeninos se encontró en mayor porcentaje los rangos de edad de 26 a 45 años, a diferencia de otros estudios donde el mayor porcentaje de presentación de la otitis media es en menores de 5 años de edad.

El mayor porcentaje de presentación de disfunción temporomandibular en nuestra población se presentó en pacientes femeninas con el 68%, con una edad promedio de 39 años. Siendo similar a otros estudios donde predomina el sexo femenino y el grupo de edades es de 31 a 41 años de edad.

El mayor porcentaje de pacientes con Vértigo Postural Paroxístico Benigno (VPPB) en nuestra población fue en pacientes femeninas con un 71%, con edad promedio de presentación 49 años a diferencia de otras publicaciones donde el mayor porcentaje de presentación es en pacientes mayores, sin embargo, se observa tendencia mayor de presentación en población femenina.  

Respecto a las fracturas nasales la población masculina con edad promedio de 35 años en nuestra población siendo similar a lo encontrado en otra bibliografía donde la edad promedio de presentación es entre 21 y 30 años, con predilección hacia el sexo masculino.

En nuestra población las principales causas de atención en urgencias por el servicio de otorrinolaringología no representaron una urgencia real al igual en distintas bibliografías.

ABORDAJE Y MANEJO DE HIPERPARATIROIDISMO PRIMARIO EN EL SERVICIO DE OTORRINOLARINGOLOGÍA DEL HOSPITAL CIVIL DE GUADALAJARA “FRAY ANTONIO ALCALDE”

Details
Written by: FESORMEX
Category: Enero - Abril 2022
Read Time: 12 mins

Autor Principal: Dra. Gutiérrez Quintero Angélica Berenice1

Co autores: Dra. De Alba Márquez Magdicarla Ercilia2

Dr. Domínguez Palomera Luis Omar3

 

1 Médico Residente del Servicio de Otorrinolaringología y Cirugía de Cabeza y Cuello, Hospital Civil de Guadalajara “Fray Antonio Alcalde”, Guadalajara, Jalisco.

2 Médico Adscrito del Servicio de Otorrinolaringología y Cirugía de Cabeza y Cuello, Hospital Civil de Guadalajara “Fray Antonio Alcalde”, Guadalajara, Jalisco. Maestría en Investigación Clínica.

3 Médico Otorrinolaringólogo en Práctica Privada, Centro Médico Puerta de Hierro, Zapopan, Jalisco. Subespecialidad en Cirugía Oncológica de Cabeza y Cuello.  

Hospital Civil de Guadalajara “Fray Antonio Alcalde”

Servicio de Otorrinolaringología y Cirugía de Cabeza y Cuello

Calle Coronel Calderon No. 777, Col. El Retiro, C.P. 44280, Guadalajara, Jalisco. Tel. 01 (33) 39424400 cel. 33 34484666

Correo: This email address is being protected from spambots. You need JavaScript enabled to view it.

 

 

 

 

 

 

 

 

RESUMEN

 

Introducción: El Hiperparatiroidismo Primario (HPTP) es un trastorno caracterizado por una secreción excesiva de Hormona Paratiroidea (PTH). Los pacientes con HPTP suelen presentar manifestaciones clínicas como nefrolitiasis, anorexia, vómitos, estreñimiento, debilidad muscular, desmineralización ósea, entre otras [1]. El tratamiento definitivo para la HPTP es quirúrgico y la monitorización intraoperatoria de PTH proporciona menos tasas de falla al tratamiento.

 

Objetivo: Analizar las características clínicas, paraclínicas, el diagnóstico histopatológico y resultados de monitoreo

 de PTH intraoperatorio en los pacientes atendidos en nuestro servicio en el periodo Marzo 2017- Marzo 2019.

 

Material y Métodos: Serie de casos clínicos; se documentaron las características clínicas y paraclínicas de los pacientes con HPTP con tratamiento quirúrgico y resultado histopatológico, en el período 2017- 2019.

 

Resultados: 6 pacientes, 2 hombres y 4 mujeres de 46.6±18.7 años de edad. Calcio sérico 12.4 mg/dl ± 2.04 mg/dl. PTH 274.8 ng/mL ± 217.7ng/mL. Síntomas encontrados: astenia 100% de los casos, así como anorexia y vómitos en el 66.6%. La litiasis renal 33.3%, hipertensión arterial sistémica y enfermedad ósea en el 33.3% y 16.6%, respectivamente. El tratamiento quirúrgico fue exitoso en 5 (83.3%) pacientes, de acuerdo a la monitorización intraoperatoria de PTH sérica. El estudio histopatológico reportó adenoma paratiroideo 5 de los casos (83.3%) y carcinoma paratiroideo en un sólo caso (16.6%).

 

Conclusiones: La medición de PTH intraoperatoria es importante para corroborar el éxito del tratamiento quirúrgico.

 

Palabras clave: hiperparatiroidismo, hormona, paratiroides, calcio

ANTECEDENTES

El hiperparatiroidismo primario (HPTP) es un trastorno caracterizado por una secreción excesiva de hormona partiroidea (PTH) de una o más de las cuatro glándulas paratiroides, por lo que su presentación clínica se caracteriza típicamente por signos y síntomas de hipercalcemia [1,2]. El HPTP es el tercer trastorno endocrinológico más común, y se muestran considerables diferencias en prevalencia en cuanto a sexo y género según la bibliografía consultada [2,3], sin embargo, su diagnóstico en la práctica clínica aumenta, ya que en muchas de las ocasiones está enfermedad es diagnosticada mediante un examen de laboratorio de rutina, a pesar de que el paciente se encuentre asintomático [4].  En cuanto a su etiología, el HPTP puede ser originado por un adenoma paratiroideo en el 80 a 85% de los casos, hiperplasia glandular múltiple en el 10%, adenoma múltiple en el 4% de los casos y carcinoma paratiroides en menos del 1% de ellos [3].

La presentación clínica es debida a causas directas e indirectas del incremento de la concentración de PTH en esqueleto, riñón e intestino [2] tales como nefrolitiasis (la más común), anorexia, vómitos, estreñimiento, debilidad muscular, desmineralización ósea, entre otras [3].

El diagnóstico de HPTP se confirma con hipercalcemia persistente y niveles inapropiadamente normales o elevados de hormona paratiroides [3,4]. Algunos estudios de imagen que son utilizados para su diagnóstico y manejo son el ultrasonido, la tomografía computarizada y la gammagrafía con 99mTc- Sestamibi.

El tratamiento realmente efectivo para el HTPH es el manejo quirúrgico tanto para pacientes sintomáticos como asintomáticos, salvo algunas excepciones [3]. Dentro de las guías de manejo actuales se ha manifestado que la monitorización intraoperatoria de PTH proporciona una función paratiroidea tiempo real, así como menos tasas de falla que pueden ser más altas que el promedio [5,6].

El objetivo de este estudio fue analizar las características clínicas, paraclínicas, el diagnóstico histopatológico, y los resultados de la monitorización de PTH intraoperatoria en los pacientes atendidos en nuestro servicio en el periodo Marzo 2017-2019.

 

MATERIAL Y MÉTODOS

Se revisaron los expedientes clínicos de los pacientes con diagnóstico de HPTP de Marzo 2017 a Marzo 2019 que recibieron atención y manejo quirúrgico por parte de nuestro servicio. Se obtuvieron los datos clínicos, estudios de laboratorio prequirúrgicos, estudios de laboratorio intraoperatorios (niveles de PTH) y diagnóstico anatomopatológico de cada caso.

El diagnóstico de HPTP se realizó con la determinación de calcio sérico y PTH con concentraciones elevadas. En todos los pacientes se determinó el fósforo sérico y el calcio en orina de 24 horas. Se realizó en todos los pacientes estudios de imagen de medicina nuclear con 99Tc Sestamibi para la localización prequirúrgica de la patología.

Los pacientes recibieron tratamiento prequirúrgico de la hipercalcemia por servicios médicos tratantes. El procedimiento quirúrgico fue realizado por un solo cirujano especializado en tumores de cuello, en todos los casos se realizó exploración cervical dirigida a partir del estudio de imagen nuclear. En todos los pacientes se realizó medición de PTH intraoperatoria, siguiendo el protocolo de Irvin, el cual consiste en la toma de muestra de sangre para determinación de PTH sérica previo a cirugía, 5 y 10 minutos después de la resección quirúrgica, éstas determinaciones fueron enviadas a un mismo laboratorio para su procesamiento. El procedimiento quirúrgico fue considerado exitoso cuando el valor de la PTH intraoperatoria post extracción de pieza operatoria disminuyó ≥50%.

El seguimiento postoperatorio fue vigilado con determinaciones periódicas de calcio sérico, así como seguimiento de datos sugerentes de hipocalcemia. El tratamiento médico postoperatorio fue administrado por los servicios médicos que habían derivado para tratamiento quirúrgico a estos pacientes. Se evalúo también la presencia de complicaciones propias de la cirugía.

 

RESULTADOS

Se reportaron 6 casos con diagnóstico de HPTP derivados de otros servicios para su intervención quirúrgica de Marzo de 2017 a Marzo de 2019. De los 6 pacientes, 2 (33.3%) eran hombres y 4 (66.6%) mujeres. La edad promedio fue 46.6 años ±18.7 años con una mayor frecuencia de la enfermedad durante la séptima década de la vida. La concentración de calcio sérico promedio fue de 12.4 mg/dl ±2.04 mg/dl. El promedio de PTH fue de 274.8 ng/mL ± 217.7ng/mL con un rango de 84.2 ng/mL a 693.4 ng/mL. De los síntomas y condiciones más frecuentemente tratadas, la astenia fue reportada en el 100% de los casos, así como anorexia y vómitos en el 66.6% de ellos. La litiasis renal sólo fue reportada en el 33.3% de los pacientes. Otras alteraciones asociadas fueron la hipertensión arterial sistémica y enfermedad ósea en el 33.3% y 16.6%, respectivamente.

Dentro de los resultados de la monitorización de PTH sérica en los pacientes número 1 presentó una PTH basal de 252.8 ng/ml, a los 5 minutos de 47.4 ng/ml y a los 10 minutos de 22.3 ng/dl con un descenso de PTH de 91.2%. El paciente número 2 presentó una PTH basal de 116.3 ng/ml, a los 5 minutos de 113.7 ng/ml y a los 10 minutos de 38.2 ng/ml, con una disminución del PTH de 67.2%. El paciente número 3 presentó una PTH basal de 205.5 ng/ml, a los 5 minutos de 60.4 ng/ml y a los 10 minutos de 52.1 ng/ml con un descenso de PTH de 74.7%. El paciente número 4 presentó una PTH basal de 265.9 ng/ml los 5 minutos de 151.5 ng/ml y a los 10 minutos de 136.1 ng/ml con un descenso de PTH de 48.9%. El paciente número 5 presentó una PTH basal de 121.2, a los 5 minutos de 107.1 ng/ml y a los 10 minutos de 26.2 con una reducción de PTH de 78.4%. El paciente número 6 presentó una PTH basal de 84.3 ng/ml, a los 5 minutos de 36.6 ng/ml y a los 10 minutos 16.0 ng/ml con una reducción de la PTH sérica de un 81.1%. (Tabla 1).

El estudio histopatológico reportó adenoma paratiroideo 5 de los casos (83.3%) de los cuales todos fueron adenomas únicos, y carcinoma paratiroideo en un sólo caso (16.7%), no se reportó ningún paciente con hiperplasia paratiroidea. En ningún caso se reportó alguna complicación quirúrgica ni postquirúrgica y actualmente, todos los pacientes llevan seguimiento por los servicios que refirieron para tratamiento quirúrgico.

1

Tabla 1. Resultados de monitorización intraoperatoria de PTH.

DISCUSIÓN

El hiperparatiroidismo primario es una de las causas más comunes de enfermedad endocrinológica, puede ocurrir a cualquier edad, y es más frecuente en las mujeres [2]. En esta serie, la litiasis renal no fue el síntoma más común como lo describe la literatura y este dato muy probablemente está relacionado con el tiempo de evolución de la enfermedad, ya que aquellos pacientes que presentaron más tiempo con datos de hipercalcemia, lo presentaron. La realización de estudios de imagen nuclear previo a la cirugía para la identificación de la patología fue de gran ayuda ya que en ninguna cirugía fue necesario realizar una exploración cervical extensiva; éstos estudios son utilizados sobre todo en aquellos casos en los que persiste la hipercalcemia, sin embargo, cada vez más cirujanos y endocrinólogos utilizan esta herramienta como estudio prequirúrgico.

La medición de PTH intraoperatoria, realizada con el protocolo antes descrito, predice de manera eficiente una curación definitiva de la patología. En nuestra serie, el tratamiento quirúrgico fue exitoso en 5 (83.3%) pacientes, de acuerdo a la monitorización intraoperatoria de PTH sérica, a excepción de un paciente (16.6%) con resultado histopatológico de carcinoma paratiroideo. En el tiempo que se ha seguido esta serie de casos, los valores de calcio sérico después de la intervención quirúrgica, han estado dentro de rangos normales, sin incluir el caso carcinoma paratiroideo, concordando con estudios internacionales que han comunicado una sensibilidad de 94% a 97% y una especificidad de 100% en la curación de estos pacientes usando este protocolo [7, 8, 9].

El adenoma paratiroideo se presentó en el 83.3% de los casos y hubo un único caso de paciente con carcinoma paratiroideo; no se reportaron pacientes con hiperplasia paratiroidea, enfermedad asociada más frecuentemente a síndrome de neoplasia endocrina múltiple. 

CONCLUSIONES

El HPTP es una enfermedad quirúrgicamente tratable, para su correcto abordaje y manejo es de suma importancia la experiencia del equipo quirúrgico para evitar las complicaciones relacionadas al procedimiento. En nuestro medio es la primera vez que utilizamos la medición de PTH intraoperatoria, el cual validamos como estudio importante para corroborar curación de patología y como respaldo del cirujano a la toma de decisiones para realización de cirugías más extensas.

REFERENCIAS

  1. Bilezikian, J. P., Cusano, N. E., Khan, A. A., Liu, J.-M., Marcocci, C., & Bandeira, F. (2016). Primary hyperparathyroidism. Nature Reviews Disease Primers, 2, 16033.
  2. Guía de práctica clínica Diagnóstico y Tratamiento del Hiperparatiroidismo primario en mayores de 18 años de edad en el primero, segundo y tercer nivel de atención, (2011) México: Secretaría de Salud.
  3. MacKenzie-Feder, J., Sirrs, S., Anderson, D., Sharif, J., & Khan, A. (2011). Primary Hyperparathyroidism: An Overview. International Journal of Endocrinology, 2011, 1–8.
  4. MacKenzie-Feder, J., Sirrs, S., Anderson, D., Sharif, J., & Khan, A. (2011). Primary Hyperparathyroidism: An Overview. International Journal of Endocrinology.
  5. Khan, A. A., Hanley, D. A., Rizzoli, R., Bollerslev, J., Young, J. E., Rejnmark, L., Bilezikian, J. P. (2016). Primary hyperparathyroidism: review and recommendations on evaluation, diagnosis, and management. A Canadian and international consensus. Osteoporosis International, 28(1), 1–19.
  6. MacKenzie-Feder, J., Sirrs, S., Anderson, D., Sharif, J., & Khan, A. (2011). Primary Hyperparathyroidism: An Overview. International Journal of Endocrinology, 1–8.
  7. Wilhelm, S. M., Wang, T. S., Ruan, D. T., Lee, J. A., Asa, S. L., Duh, Q.-Y., Carty, S. E. (2016). The American Association of Endocrine Surgeons Guidelines for Definitive Management of Primary Hyperparathyroidism. JAMA Surgery, 151(10), 959.
  8. Domínguez, José Miguel, Velasco, Soledad, Goñi, Ignacio, León, Augusto, González, Hernán, Claure, Raúl, Arteaga, Eugenio, Campusano, Claudia, Fardella, Carlos, López, José Manuel, Mosso, Lorena, Rodríguez, José Adolfo, & González, Gilberto. (2009). Utilidad de la PTH intraoperatoria como predictor de curación quirúrgica en hiperparatiroidismo primario. Revista médica de Chile, 137(12), 1591-1596.
  1. Chen H, Pruhs Z, Starling Jr, Mack E. (2015) Intraoperative parathyroid hormone testing improves cure rates in patients undergoing minimally invasive parathyroidectomy. Surgery; 138: 583-7; discussion 7-90.

More Articles …

  • ESTUDIO DE LA TEORÍA DE ANTON VON TRÖLTSCH ACERCA DE LA RELACIÓN DEL ÁNGULO TIMPANOMEATAL CON EL DESARROLLO DE LA BASE DEL CRÁNEO

Page 1 of 2

  • 1
  • 2

Revista Fesormex

Todos los derechos son propiedad de la Revista FESORMEX

  • Inicio
  • Directorio
  • Mensaje Director
  • Mensaje Presidente
  • A Colaboradores