EN LOS OJOS DEL VÉRTIGO

Autor:

Dr. Oscar Obeth Ríos Coronado

Residente de 4to año de Otorrinolaringología y Cirugía de Cabeza y Cuello.

Hospital Civil de Guadalajara, Fray Antonio Alcalde.

Dirección: Coronel Calderón 777, El Retiro, 44280 Guadalajara, Jal.

Coautores:

Dra. Ana Isabel Sedano Paz

Residente de 2do año de Otorrinolaringología y Cirugía de Cabeza y Cuello.

Hospital Regional “Dr. Valentín Gómez Farías” ISSSTE.

Dirección: Av. Soledad Orozco 203, El Capullo, 45100 Zapopan, Jal.

Dr. Juan Ramón Gutiérrez Molina

Residente de 2do año de Otorrinolaringología y Cirugía de Cabeza y Cuello.

Hospital Civil de Guadalajara, Fray Antonio Alcalde.

Dirección: Coronel Calderón 777, El Retiro, 44280 Guadalajara, Jal.

Dra. Magdicarla Ercilia De Alba Márquez

Miembro del Colegio de Otología, Otoneurología y Cirugía de Base de Cráneo.

Médico Adscrito al servicio de Otorrinolaringología y Cirugía de Cabeza y Cuello.

Hospital Civil de Guadalajara, Fray Antonio Alcalde.

Dirección: Av. Jorge Álvarez del Castillo #1504  esq. Mar Blanco, Col. Chapultepec Country. CP 44620 Guadalajara, Jal.


Antecedentes y relevancia clínica: El vértigo es un importante motivo de consulta a nivel mundial, incrementado su incidencia con la edad y de acuerdo a su forma de presentación, puede ser el diagnóstico diferencial de un evento vascular cerebral, por tal motivo es de vital importancia su análisis individualizado para descartar etiología central o periférica oportuna y su tratamiento adecuado.

Material y métodos: Revisión bibliográfica sobre el abordaje del síndrome vestibular agudo en el diagnóstico diferencial de evento vascular cerebral (EVC), así como el diagnóstico topográfico de las lesiones vasculares, evidenciado por estudios de imagen.

Resultados: Se realiza un análisis del abordaje sugerido en pacientes con síndrome vestibular agudo, basado en su historia clínica y el tipo de presentación. Los hallazgos clínicos de los casos presentados son compatibles con los sitios de lesión sospechosos, corroborados a través de estudios de resonancia magnética.

Conclusión: Una adecuada valoración otoneurológica y oculomotora, permite detectar patología central y sugerir diagnósticos topográficos de posibles lesiones vasculares.

Palabras clave: Síndrome vestibular agudo; Oculomotor; HINTS.

Background and clinical relevance: Vertigo is an important reason for consultation worldwide, its incidence increasing with age and according to its form of presentation, it can be the differential diagnosis of a cerebral vascular event, for this reason it is of vital importance. The individualized analysis to rule out timely central or peripheral etiology and its appropriate treatment.

Material and methods: Literature review on the approach to acute vestibular syndrome in the differential diagnosis of stroke, as well as the topographic diagnosis of vascular lesions, evidenced by imaging studies.

Results: An analysis of the suggested approach in patients with acute vestibular syndrome, based on their clinical history and type of presentation, is performed.  The clinical findings of the cases presented are compatible with the suspected lesion sites, corroborated through magnetic resonance imaging studies.

Conclusion: An adequate otoneurological and oculomotor assessment allows detecting central pathology and suggesting topographic diagnoses of possible vascular lesions.

Keywords: Acute vestibular syndrome; oculomotor; HINTS.

1. Introducción.

El vértigo es un motivo de consulta frecuente en medicina, aún más en otorrinolaringología, calculándose aproximadamente 50 a 100 millones de causa consultas en el área de urgencias en el mundo. Sus causas más frecuentes afortunadamente son periféricas como el vértigo posicional paroxístico benigno (VPPB) y neuritis vestibular(1). Por otro lado, causas menos frecuentes son aquellas de origen vascular que incluyen migraña, desórdenes cerebrovasculares (sobre todo aquellos en el territorio arterial vertebrobasilar), enfermedades cardiovasculares, paroxismia vestibular y vasculitis(2). De los anteriores mencionados, cabe destacar que vértigo como resultado de un evento vascular cerebral (EVC) representa 3-5% de las causas, pero el clínico no debe dejarse engañar por su aparente baja incidencia ya que se calcula que aproximadamente un tercio (hasta 35%) de los EVC no mal diagnosticados(3), y por tanto 1 de cada 3 pacientes la terapéutica y seguimiento serán inadecuados, empeorando el pronóstico. Tómese en cuenta que los pacientes con vértigo que acuden a urgencias representan un subgrupo con alto riesgo de EVC (aproximadamente 25%), siendo hasta el 96% isquémicos(1).

2. Material y métodos.

Revisión bibliográfica sobre el abordaje del síndrome vestibular agudo en el diagnóstico diferencial de EVC, así como el diagnóstico topográfico de las lesiones vasculares, de acuerdo al análisis oculomotor y otoneurológico en correlación con casos clínicos del Hospital Civil de Guadalajara “Fray Antonio Alcalde”.

3. Resultados.

Caso clínico 1.

Se presenta el caso de un masculino de 46 años, conocido con diabetes mellitus tipo 2 de 12 años de evolución, hipertensión arterial y enfermedad renal crónica de 2 años de evolución; así como alcoholismo crónico.

Acude al servicio de urgencias con motivo de consulta de mareo; durante su ingreso se diagnostica un síndrome cardio renal y edema pulmonar agudo agregado; Inicia su padecimiento con episodio de mareo espontáneo, pérdida del equilibrio y sensación de movimiento de los objetos que lo rodean que disminuye al decúbito supino, sufriendo caída desde su propia altura, el servicio de otorrinolaringología es interconsultado para abordaje de una aparente neuronitis vestibular 7 días después.

Se realiza exploración dirigida para vértigo encontrando los siguientes hallazgos: paciente incapaz de mantenerse de pie con lateropulsión hacia su derecha. No se observa nistagmo espontáneo, head impulse test derecho con sacada correctiva, test de skew deviation normal. Al rastreo suave de la mirada se observa nistagmus evocado a la mirada horizontal-torsional (más intenso a la derecha que a la izquierda), y finalmente se realiza exploración para valorar si la capacidad de cancelación del reflejo vestíbulo-ocular (VOR) se encuentra íntegra, encontrando que no hay cancelación del VOR con movimiento a la derecha resultando en sacadas para persecución del objetivo.

Al principio el paciente valorado con el protocolo HINTS, podría dar la impresión de una lesión vestibular periférica derecha (dado por el head impulse test derecho), sin embargo, llama la atención un nistagmo evocado a la mirada, también conocido como “nistagmus cambiante” (posible compromiso del núcleo prepósito hipogloso y/o flóculo) así como la incapacidad de cancelar el VOR al girar a la derecha (posible lesión del flóculo)(4), razón por la que se decide solicitar estudios de imagen ante el diferencial de un vértigo de origen vascular central contra un síndrome vestibular agudo periférico.

Se realiza una tomografía simple que reporta lesión hipodensa en el lóbulo cerebeloso derecho de aproximadamente 3x3.4 mm, con pérdida del patrón de las folias (sugiere atrofia de tejido); Se valora resonancia magnética contrastada donde se observa en secuencia T2, FLAIR y difusión,  lesión hiperintensa en porción inferior de hemisferio cerebeloso derecho, zona del flóculo así como zona posterior y lateral ipsilateral de bulbo raquídeo, concordante con lesión isquémica en el territorio de la arteria cerebelosa posteroinferior (PICA).

Imagen 1. Resonancia magnética, secuencia FLAIR, lesión hipointensa cerebelar derecha.

1.JPG

Imagen 2. Resonancia magnética, secuencia T2, lesión hiperintensa difusa cerebelar derecha.

2.JPG

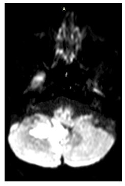
Imagen 3. Resonancia magnética, secuencia Difusión, lesión hiperintensa heterogenea cerebelar derecha.

3.JPG

Al ser un caso en temporalidad aguda - subaguda, el tratamiento es expectante con rehabilitación vestibular para reincorporación del paciente a su vida lo más normal posible. El paciente meses después falleció por neumonía, no se descarta la posibilidad de microaspiraciones por alteraciones en la deglución producto del EVC.

Caso clínico 2.

Masculino de 36 años de edad, con antecedente de infección por VIH con carga viral indetectable de 6 años de evolución, así como alcoholismo y tabaquismo desde hace 4 años.

Su motivo de consulta es el vértigo, el cual inicia con sensación de movimiento de 1 minuto de duración, exacerbado a los movimientos cefálicos, acompañado de vómito y dificultad para la marcha que inició hace 4 días.

A la exploración física, se realiza head impulse test con sacadas correctivas bilaterales, no se observa nistagmo espontáneo, el test de skew es normal (protocolo HINTS). al rastreo (persecución) suave de la mirada no se observa limitación de los movimientos oculares pero se hace evidente nistagmo evocado a la mirada de lado derecho, hay incapacidad para cancelación del VOR bilateral, y la prueba de head thrust resulta con nistagmo residual a la izquierda y con sacadas para fijación de objetivo alternante hipométricas horizontales hipométricas. El paciente presenta disdiadococinesias en extremidades superiores y presenta un romberg normal, con marcha de base amplia.

En este caso, el paciente bajo el protocolo HINTS tiene head impulse test con sacadas bilaterales, aunque posible, es muy improbable que haya una disfunción vestibular periférica bilateral al unísono, el nistagmo izquierdo a la maniobra de head shake podría indicar un componente de asimetría vestibular periférica, pero también podría ayudar a realizar diangóstico de infartos de la arteria cerebelosa antero inferior(5) (AICA). Posteriormente encontramos un nistagmo evocado a la mirada, VOR no cancelado, estos últimos dos relacionados a lesión en el flóculo cerebeloso, sacadas hipométricas relacionadas a lesiones en el vermis(4), y otros signos cerebelosos como disdiadococinesia, que orientan más a una patología de origen central, por lo que se solicitó estudio de resonancia magnética contrastado.

Se solicita resonancia magnética que reporta preservación de la sustancia gris-blanca, surcos, cisuras y espacios de amplitud normal, se observan lesiones hiperintensas en la sustancia blanca profunda en secuencias T2 y FLAIR correspondiente a zona del flóculo principalmente derecho, vermis y parte posteromedial de lóbulo cerebeloso posterior derecho y posterior izquierdo, además de zonas de malasia en ambos hemisferios cerebelosos.

              

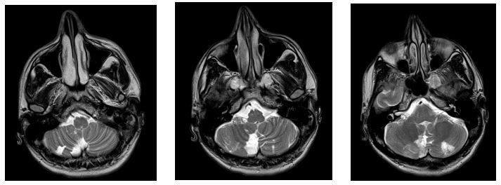
Imagen 3, 4 y 5: Secuencia FLAIR con lesiones hiperintensas correspondiente a zona del flóculo principalmente derecho, vermis y parte posteromedial de lóbulo cerebeloso posterior derecho y posterior izquierdo.

4.JPG

            

Imagen 6, 7 y 8: Secuencia T2 con lesiones hiperintensas correspondiente a zona del flóculo principalmente derecho, vermis y parte posteromedial de lóbulo cerebeloso posterior derecho y posterior izquierdo.

5.JPG

Este paciente recibe recomendación sobre tabaquismo y su riesgo cardiovascular de presentar otro EVC, se le trata con rehabilitación vestibular.

4. Discusión.

Los pacientes con vértigo continúan a la fecha siendo un enigma diangóstico, así como el médico general no está familiarizado con los signos y maniobras clásicas para realizar un diangóstico de certeza en los vértigos periféricos, el otorrinolaringólogo se enfrenta al reto de diferencias un vértigo que pone o no en riesgo la vida del paciente. Se ha desarrollado el protocolo HINTS (acrónimo de: Head Impulse - Nistagmus - Test-of-Skew) con una sensibilidad del 100% y especificidad del 96% que presume superar la certeza diagnóstica de una resonancia magnética en las primeras 24-48 horas(3) para diferenciar un vértigo central de uno periférico (clásicamente neuronitis vestibular). Una Exploración clínica congruente con síndrome vestibular agudo (SVA) en el protocolo HINTS sería un Head impulse con sacada correctiva del lado afectado (indica el lado enfermo), nistagmo que sigue las leyes de Alexander (unidireccional, no cambia con la mirada, aumenta si se mueve el ojo hacia su fase rápida y disminuye su intensidad si el ojo se mueve a su fase lenta), y un test of skew sin correción vertical de ningún ojo.

En los casos estudiados previamente observamos que los pacientes no presentaron nistagmo espontáneo ni test skew alterado, por lo que el explorador puede cometer el error de no realizar una exploración del rastreo ocular y verse confudido con únicamente las sacadas correctivas resultantes de la exporación de head impulse test. Aquellos síndromes vestibulares agudos espontáneos, son la señal de alarma principal, siendo el prototipo la neuritis vestibular el diagnóstico diferencial número uno vs. EVC, debido a que éstos presentan características neurológicas obvias en menos del 20% de los casos y 96% de los casos son de origen isquémico pudiéndose beneficiar de tratamiento trombolítico o profiláctico si se realiza el diagnóstico adecuado(1).

Por lo anterior, todo vértigo agudo merece un protocolo de exploración Otoneurológico completo, que permita clasificar su origen periférico o central, ya que no todos los eventos cerebrales vasculares se presentan con los signos típicos de focalización neurológica, especialmente los pacientes con >1 factor de riesgo cardiovascular(3).

El abordaje propuesto “TiTraTE” es un método de triage basado en “Timing - Triggers - Targeted” que clasifica cuatro síndromes vestibulares: episódico con desencadenante, episódico espontáneo, post-exposición y agudo espontáneo, basados en la exploración oculomotora y los antecedentes de la historia clínica. Como ya se mencionó, aquellos síndromes vestibulares agudos espontáneos, son la señal de alarma(1). De los vértigos de origen vascular (migraña, paroxismia, vasculitis, etc), el que tiene relevancia por su posible fatalidad a corto plazo y morbilidad a largo plazo es el EVC. La historia y exploración clínica dictará una adecuada sospecha. Ya que una parte importante de los EVC que generan vértigo comprometen algún nivel de la circulación vertebrobasilar (>20%) son de origen isquémico (>80%)(1), el diagnóstico temprano logrará aumentar las posibilidades de una terapéutica oportuna para el paciente. sin embargo, también las hemorragias del oído interno espontáneas, son comunes en pacientes con diátesis hemorrágicas, tratamiento anticoagulante, meningitis; siendo la leucemia la más prevalente, y se presentan como síndrome vestibular agudo y sordera unilateral súbita. Los territorios más afectados suelen ser la PICA (96%), seguida de la arteria cerebelosa anteroinferior (AICA – 4%).

Como ya se mencionó, el protocolo HINTS es muy útil para el diagnóstico, sin embargo, llegará siempre el momento en el que sea necesario tener más herramientas de exploración, que si el clínico conoce y sabe interpretar, tendrá mayor capacidad de salvar la vida de una paciente en momentos críticos de su enfermedad. Por ello, otro punto importante a evaluar es la función cerebelar, siendo la ataxia troncal un importante marcador predictor de patología central. Algunas bibliografías sugieren una clasificación de gravedad: grado I) Desequilibrio leve a moderado a la marcha independiente, grado II) Desequilibrio severo a la bipedestación con incapacidad para la marcha sin apoyo y grado III) Caída en posición erguida. También la capacidad de sentarse desde la posición supina sin el apoyo de brazos, es un dato de asinergia, particularmente útil en los pacientes en cama. Existe una correlación con la presencia de ataxia grado II o III más algún dato positivo del protocolo HINTS para una fuerte sospecha de patología central con una sensibilidad del 100%(6) reportada por Carmona et. al.

Si el clínico va más allá en la exploración oculomotora, podrá no solamente sospechar una lesión central como etiología del vértigo, sino que podría dar un diagnóstico topográfico con el adecuado entendimiento del signo clínico encontrado y su interpretación con la parte anatómica alterada. El análisis oculomotor de los movimientos de rastreo, sacadas, fijación y nistagmus, permite el diagnóstico topográfico en el tronco encefálico y cerebelo, así como la diferenciación de lesiones periféricas o centrales de la mayoría de los casos. Lesiones centrales a menudo se presentan con visión borrosa y desórdenes motores bilaterales, que se pueden clasificar en: Lesiones fasciculares, nucleares, supra nucleares y cerebelares. Existen algunos datos sugestivos de lesión como la presencia de paresia sacádica vertical aislada orienta a lesión del mesencéfalo; la paresia sacádica horizontal aislada unilateral se asocia a lesión de la protuberancia; las sacadas hipermetricas a lesión cerebelar en el núcleo fastigial y al síndrome de Wallenberg; el nistagmo vertical aislado evocado a la mirada a lesión del mesencéfalo; el nistagmo horizontal evocado a la mirada a lesión del cerebelo o pontomedular del núcleo prepósito hipogloso y núcleo vestibular; el nistagmo downbeat a lesión del cerebelo y flóculo bilateral; el nistagmo upbeating a lesión del mesencéfalo o médula oblonga; el nistagmo de convergencia-retracción a lesión del mesencéfalo en la comisura posterior(4). Por último, debe el explorador aprender a distinguir un falso test of skew de una parálisis del nervio Troclear mediante el test de Bielschowsky(7), que podría aliviar la tensión del paciente y del explorador al evitar una falsa alarma en la sospecha de EVC.

5. Conclusiones.

La correcta valoración del vértigo agudo supone gran importancia en el pronóstico del paciente y un buen uso de los recursos auxiliares diagnósticos especializados, a través de sencillas valoraciones oculomotoras y combinándola con otros hallazgos como la ataxia podemos hacer diagnósticos diferenciales vitales. Con la historia clínica como base fundamental y un conocimiento detallado de la anatofisiología vestibular y los movimientos oculares, permite al médico localizar lesiones centrales en áreas específicas, que de ser varias, podrían sugerir no solamente un área pequeña, sino también predecir la posibilidad de todo un territorio vascular como clásicamente la PICA.

5.        Bibliografía.

1.         Newman-Toker DE, Edlow JA. TiTrATE. Neurol Clin. agosto de 2015;33(3):577–99.

2.         Karatas M. Vascular Vertigo: Epidemiology and Clinical Syndromes. The Neurologist. enero de 2011;17(1):1–10.

3.         Kattah JC, Wang DZ, Hsieh YH, Newman-Toker DE. HINTS to Diagnose Stroke in the Acute Vestibular Syndrome: Three-Step Bedside Oculomotor Examination More Sensitive Than Early MRI Diffusion-Weighted Imaging. Stroke. noviembre de 2009;40(11):3504–10.

4.         Strupp M, Kremmyda O, Adamczyk C, Böttcher N, Muth C, Yip CW, et al. Central ocular motor disorders, including gaze palsy and nystagmus. J Neurol. septiembre de 2014;261(S2):542–58.

5.         Huh YE, Koo JW, Lee H, Kim JS. Head-Shaking Aids in the Diagnosis of Acute Audiovestibular Loss due to Anterior Inferior Cerebellar Artery Infarction. Audiol Neurotol. 2013;18(2):114–24.

6.         Carmona S, Martínez C, Zalazar G, Moro M, Batuecas-Caletrio A, Luis L, et al. The Diagnostic Accuracy of Truncal Ataxia and HINTS as Cardinal Signs for Acute Vestibular Syndrome. Front Neurol [Internet]. el 8 de agosto de 2016 [citado el 21 de septiembre de 2022];7. Disponible en: http://journal.frontiersin.org/Article/10.3389/fneur.2016.00125/abstract

7.         Wong AMF. Understanding skew deviation and a new clinical test to differentiate it from trochlear nerve palsy. J Am Assoc Pediatr Ophthalmol Strabismus. febrero de 2010;14(1):61–7.